Jasandy ıntellekt almatylyq dárigerlerge adam ómirin qutqarýǵa kómektesti

Jasandy ıntellekt almatylyq dárigerlerge adam ómirin qutqarýǵa kómektesti Sýret: N7 QKA

Almatynyń №7 qalalyq klınıkalyq aýrýhanasynyń neırohırýrgteri jasandy ıntellekt tehnologıasynyń kómegimen ıshemıalyq ınsýlti bar 77 jastaǵy naýqasqa sátti ota jasady.

Qart er adam aýrýhananyń qabyldaý bólimshesine ınsýlttyń aıqyn klınıkalyq belgilerimen – sol jaǵynyń saldanýy, sózderiniń buzylýy jáne bet bulshyq etteriniń shala saldanýymen shuǵyl túrde jetkizilgen. Aýrý bastalǵannan beri shamamen bir saǵat qana ótken, dál osy ýaqyt aralyǵyn dárigerler «altyn saǵat» dep ataıdy. Bul kezde emdeýdiń sátti ótý múmkindigi joǵary.
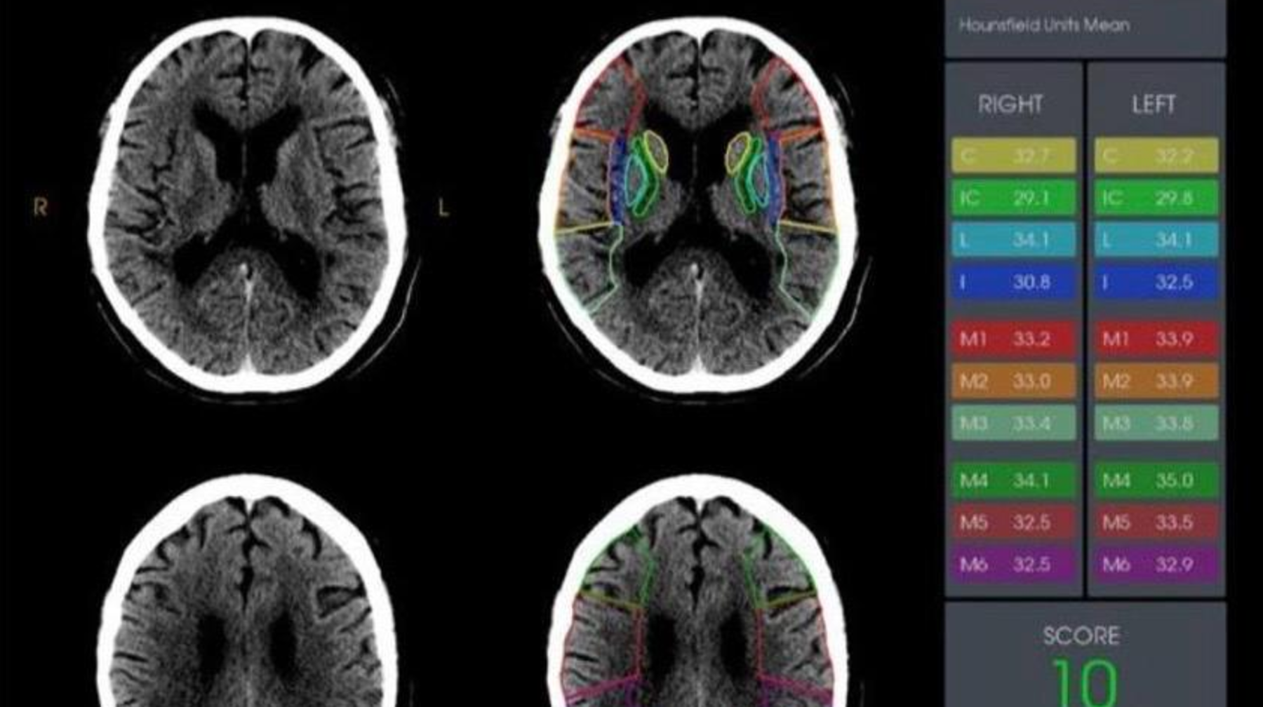
Pasıentke jedel túrde kompúterlik tomografıa (KT) júrgizildi. Qan quıylýdyń nemese ıshemıanyń qalyptasqan oshaǵynyń aıqyn belgileri anyqtalmaǵanyna qaramastan, KT derekteri RAPID- mamandandyrylǵan jasandy ıntellekt baǵdarlamasymen qosymsha óńdeldi. Bul júıe ınsýlttyń belgilerin erte anyqtaýǵa jáne trombty alyp tastaý operasıasyn júrgizýdiń kerektigin anyqtaýǵa múmkindik beredi.  

«Ómirlik kórsetkishter boıynsha trombty alyp tastaý operasıasy sátti júrgizildi. Birneshe kúnnen keıin pasıent aıaqqa tura bastady. Bul jaǵdaı joǵary tehnologıalyq kómek kórsetiletin stasıonarǵa ýaqytyly túsýdiń mańyzdylyǵyn, sondaı-aq sheshim qabyldaýda jasandy ıntellekttiń atqaratyn rólin aıqyn kórsetedi», – dedi №7 qalalyq klınıkalyq aýrýhananyń tamyrlyq neırohırýrgıa bólimshesiniń neırohırýrg-dárigeri Aıbek Turalıev.

Dáriger ıshemıalyq ınsýlt kezinde ýaqyttyń sheshýshi mańyzǵa ıe ekenin atap ótti:  hırýrgıalyq aralasý neǵurlym erte jasalsa, mı jasýshalary soǵurlym az zaqymdalady jáne tolyq qalpyna kelý múmkindigi anaǵurlym joǵary bolady. Qoldanylatyn RAPID baǵdarlamasy mıdy ASPECTS shkalasy (0-den 10 balǵa deıin) boıynsha baǵalaıdy jáne ortańǵy mı arterıasy baseınindegi zaqymdaný dárejesin anyqtaýǵa kómektesedi.

Operasıadan keıin pasıent ınsýlt bólimshesinde odan ári emin jalǵastyrdy. Barlyq emdeý, onyń ishinde operasıalyq aralasý da, MÁMS júıesi aıasynda áleýmettik medısınalyq saqtandyrý qorynyń qarajaty esebinen júrgizildi.  

Almaty qalasy №7 QKA-nyń ınsýlt ortalyǵynyń meńgerýshisi, Qoǵamdyq densaýlyq saqtaý basqarmasynyń bas shtattan tys ınsýltology Janna Dúısembaeva óz kezeginde qan aınalymy júıesi aýrýlarynyń qazirgi qoǵamnyń mańyzdy medısınalyq-áleýmettik problemalarynyń biri bolyp qala beretinin atap ótti. Bul halyqtyń syrqattanýshylyq jáne ólim-jitim qurylymyndaǵy, alǵashqy múgedektikke sebep bolatyn joǵary úlesimen baılanysty.

«Insýlt – bul jaı ǵana medısınalyq másele emes. Bul búkil densaýlyq saqtaý júıesine, árbir otbasyna, búkil qoǵamǵa qoıylǵan úlken synaq. Bizdiń árqaısymyz – dáriger, medbıke, ońaltý mamany – kún saıyn osy kúrestiń aldyńǵy shebinde turyp, adamdarǵa joǵaltqan fýnksıalaryn, úmitin jáne ómir sapasyn qaıtarýǵa kómektesemiz. Elimizde jyl saıyn 40 myńnan astam jańa ınsýlt jaǵdaıy tirkeledi, onyń 5 myńy alǵashqy 10 kúnde, al taǵy 5 myńy mıdaǵy apatty bastan ótkergennen keıin birinshi aı ishinde qaıtys bolady», – deıdi Janna Dúısembaeva.

Dárigerler atap ótkendeı, jasandy ıntellekt tehnologıalaryn engizý dıagnostıkanyń dáldigin aıtarlyqtaı arttyrady jáne árbir mınýt ómirge qaýip tóndiretin asa mańyzdy jaǵdaılarda sheshim qabyldaýdy jedeldetedi.
Jyl saıyn 29 qazanda Insýltpen kúres kúni atalyp ótedi. Bul is- sharanyń maqsaty – halyqty ınsýlttiń zardapty saldary týraly habardar etý jáne medısınalyq kómekke ýaqytyly júginýdiń mańyzdylyǵyn eske salý. Dúnıejúzilik densaýlyq saqtaý uıymynyń deregi boıynsha, ınsýlt aýrýy álemdegi ólim men múgedektiktiń basty sebepteriniń biri bolyp qala beredi, bul dert jyl saıyn mıllıondaǵan adamnyń ómirin qıyp otyr.

Sizdiń reaksıańyz?
Unaıdy
3
Unamaıdy
0
Kúlkili
0
Shekten shyqqan
0
Sońǵy jańalyqtar

14:33

12:51

12:11

11:29

10:09

09:16

17:11

16:20

15:18

14:22

12:13

11:33

11:11

10:13

09:33

20:46

19:49

19:41

17:48

17:31

17:15

17:05

16:54

16:53

16:33